
Кариесот е активен цело време. Исто како и elmex® формулата со двојно дејство.
Што е забен кариес?
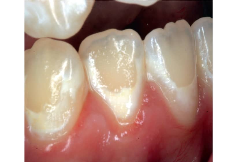
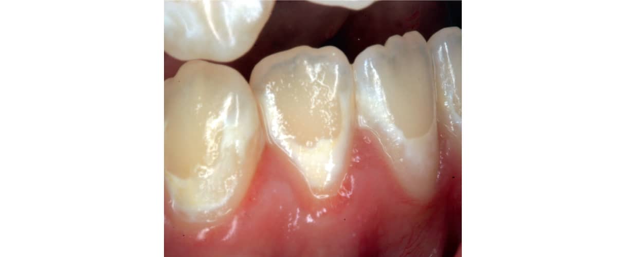
Забниот кариес се појавува кога ќе настане деминерализација на тврдите забни ткива како резултат на контакт со киселините кои настануваат со помош на бактериите присутни во устата. Кариозните лезии се резултат на долготрајна загуба на минерали, како калциум и фосфати од глеѓта и дентинот. Белите дамки на забот кои често се наоѓаат блиску до гингивата можат да бидат ран знак за деминерализација. Во овој стадиум може да се поврати процесот на деминерализација со користење на производи со флуор.
Како да спречите појава на кариес и правилно да се грижите за вашите
заби?

Слика: Бели дамки на забите - први симптоми на кариес. Ако се изостави превенција на кариесот ке дојде до напредување на процесот на деминерализација и појава на кариес, кој може да се третира само во стоматолошка ординација.
elmex® производите со амино флуорид ги заштитуваат забите од кариес
Повеќе од 400 научни истражувања ги открија извонредните својства на амино флуоридите кои се содржат во elmex® производите. Амино флуоридите ја зајакнуваат и ја реминерализираат глеѓта и создаваат заштитен слој на површината од сите заби.
Како делуваат амино флуоридите?
Благодарение на уникатните својства амино флуоридите брзо создаваат траен и заштитен слој на површината на забите. Овој слој ефикасно ги штити забите од напад на киселини. Флуоридните
јони кои се присутни во устата помагаат во процесот на реминерализација кој се базира во вградување
на калциум и фосфати во глеѓта, и на тој начин заштита од понатамошен развој на кариесот. Амино флуоридите го намалуваат метаболизмот и размножувањето на бактериите кои се одговорни за појавата на кариес.







